의학용어 CAG, PCD, QD

의학 분야에서 정확한 용어 사용은 환자의 진단과 치료에 있어 매우 중요합니다. 특히, 약어는 의료 전문가들이 빠르고 효율적으로 정보를 교환하고, 환자에게 명확한 지침을 제공하는 데 도움을 줍니다. CAG, PCD, QD와 같은 약어들은 각각 특정한 의료 절차나 지침을 나타내며, 이들의 정확한 이해는 환자의 안전과 치료 결과에 직접적인 영향을 미칩니다.

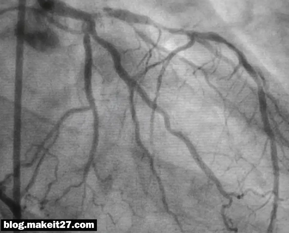
CAG

의학용어 CAG, PCD, QD

CAG는 ‘Coronary Angiography’의 약자로, 한국어로는 관상동맥조영술이라고 합니다. 이 검사는 심장을 공급하는 혈관인 관상동맥의 협착, 폐쇄, 확장, 연축, 혈전 등을 확인하기 위해 시행됩니다. 주로 심장카테터 검사의 일부로, 요골동맥(radial artery)이나 대퇴동맥(femoral artery)을 통해 카테터를 삽입하고, 관상동맥 입구에 위치시켜 조영제를 주입하여 혈관의 상태를 관찰합니다.

검사 방법과 간호

  • 검사 전 간호에는 금식, 수액 주입을 위한 정맥로 확보, 카테터 진입 부위의 면도 등이 포함됩니다.
  • 검사 방법은 C-arm이 있는 심혈관센터에서 진행되며, 환자는 검사실 침대에 누워서 진행합니다.
  • 검사 후 간호는 천자 부위의 출혈 여부, 순환 상태 확인, 감염 여부 관찰, vital 변화 관찰, 조영제 알러지 반응 및 신기능 장애 여부를 관찰하는 것을 포함합니다.

관련 용어 및 절차

  • PTCA (Percutaneous Transluminal Coronary Angioplasty): 협착된 관상동맥을 넓히는 시술입니다.
  • PCI (Percutaneous Coronary Intervention): 관상동맥에 스텐트를 삽입하는 중재술입니다.
  • Ergonovine CAG: 관상동맥의 연축을 유발하여 협착을 확인하는 검사입니다.

이러한 검사와 시술은 협심증이나 심근경색과 같은 관상동맥 질환의 진단과 치료에 중요한 역할을 합니다. 검사를 통해 관상동맥의 상태를 정확히 파악하고, 필요한 경우 스텐트 삽입과 같은 중재술을 통해 혈관을 넓히거나 뚫어 혈류를 개선할 수 있습니다. 이는 개흉술을 하지 않고도 심장의 혈관 상태를 개선할 수 있는 중요한 방법입니다.

PCD

PCD

PCD는 ‘Percutaneous Catheter Drainage’의 약자로, 한국어로는 경피적 카테터 배액술이라고 합니다. 이 시술은 피부를 통해 체내에 카테터를 삽입하여 체액을 배출하는 절차로, 주로 농양, 체액 축적, 출혈 등을 제거하거나 배출하기 위해 사용됩니다. PCD는 개복 수술에 비해 덜 침습적이며, 회복 시간이 짧고 합병증 발생률이 낮다는 장점을 가지고 있습니다.

PCD의 적용과 절차

  • 적응증: PCD는 폐에 물이 차는 흉수로 인한 호흡곤란이 발생할 경우 증상 완화를 위해 삽입되기도 하고, 흉수 검체를 채취하여 방사선 검사상에서 확인된 흉수에 대한 원인 질환을 감별하기 위해 시행되기도 합니다.
  • 시술 전 간호: 시술 전에는 동의서 작성, 검사 전 처치표 작성, 금식 여부 확인, IV route 확보 등의 준비가 필요합니다.
  • 시술 방법: PCD 삽입 시술은 엑스레이를 보고 정확한 위치에 카테터를 삽입합니다. 이때, 배액관 끝이 돼지꼬리 모양을 닮았다고 해서 ‘pigtail’이라고 부르기도 합니다.
  • 시술 후 간호: 시술 후에는 배액 양상 확인, 활력징후 측정, 통증 조절, 배액관 관리 및 교육 등이 중요합니다.

관련 용어

  • Pigtail: PCD를 위해 사용되는 카테터의 한 종류로, 끝이 굽어져 있어 돼지꼬리와 비슷한 모양을 하고 있습니다.
  • Abscess: 농양의 확장을 예방하기 위해 PCD를 삽입할 수 있습니다.
  • Ascites: 복수를 배액할 때 주로 사용되는 PCD입니다.

PCD는 내과 병동, 특히 호흡기내과, 소화기내과에서 자주 볼 수 있는 시술로, 임상에서 PCD insert라는 기록이 보이면 해당 환자가 어떤 부위에 문제가 있어서 삽입되었는지 사정하는 것이 중요합니다.

QD

QD

의학 분야에서 QD는 ‘Quaque Die’의 약어로, 한국어로는 하루 한 번을 의미합니다. 이 용어는 주로 처방전에서 환자에게 약을 하루에 한 번만 투약하라는 지시를 나타내는 데 사용됩니다. 예를 들어, 처방전에 ‘Ibuprofen 400mg 1T QD PO’라고 적혀 있다면, 이는 ‘이부프로펜 400mg을 하루에 한 번, 경구로 복용하라’는 의미입니다.

관련 의학용어

  • BID: ‘Bis In Die’의 약어로, 하루에 두 번 투약을 의미합니다.
  • TID: ‘Ter In Die’의 약어로, 하루에 세 번 투약을 의미합니다.
  • QID: ‘Quater In Die’의 약어로, 하루에 네 번 투약을 의미합니다.

예시

  • QD: 아침에 한 번만 약을 복용하는 경우
  • BID: 아침과 저녁, 하루 두 번 약을 복용하는 경우
  • TID: 아침, 점심, 저녁 세 번 약을 복용하는 경우
  • QID: 아침, 점심, 저녁, 취침 전 네 번 약을 복용하는 경우

이러한 용어들은 간호사와 의사가 환자의 투약 계획을 명확하게 소통하기 위해 사용되며, 환자의 치료 계획을 정확하게 이행하는 데 중요한 역할을 합니다. 또한, 이러한 용어는 대부분 라틴어에서 유래되었으며, 의학 교육 과정에서 기본적으로 배우는 내용입니다. 이러한 투약 용어의 이해는 환자의 안전과 직결되기 때문에, 의료 전문가들에게는 필수적인 지식입니다.

FAQ

CAG

Q: CAG란 무엇인가요?

A: CAG는 ‘Coronary Angiography’의 약어로, 관상동맥조영술을 의미합니다. 이 검사는 심장의 혈관 상태를 확인하여 협심증이나 심근경색과 같은 질환을 진단하는 데 사용됩니다.

Q: PCD는 어떤 시술인가요?

A: PCD는 ‘Percutaneous Catheter Drainage’의 약어로, 피부를 통해 카테터를 삽입하여 체내의 농양이나 체액을 배출하는 시술입니다. 이는 감염이나 염증을 줄이고, 장기의 손상을 방지하기 위해 수행됩니다.

Q: QD는 어떻게 사용되나요?

A: QD는 ‘Quaque Die’의 라틴어 약어로, 하루에 한 번 약을 투약하라는 지시를 나타냅니다. 주로 처방전에서 환자에게 약을 하루에 한 번만 복용하도록 지시하는 데 사용됩니다.